Your Smile Deserves More Than Just Four Implants
3-On-6™ uses 6 implants per arch — preserving your natural gums and bone while giving you a smile that looks, feels, and cleans like real teeth. No pink porcelain. No bone removal.
3-On-6™ vs All-on-4
See the 3-On-6™ Difference
Learn why more patients are choosing 3-On-6™ over traditional All-on-4
Have questions after watching? Call us — 03 6200 8800
Why Thousands Are Rethinking Traditional Implants
All-on-4 was a breakthrough — but it comes with trade-offs that most patients only discover after treatment.
Bone Is Permanently Removed
All-on-4 requires cutting away healthy bone to make room for pink porcelain. Once removed, this bone never grows back — affecting your facial structure over time.
Fake Gums Look Unnatural
Pink porcelain is used to mimic gum tissue, but the result can appear obviously artificial — especially visible with a high smile line.
Difficult to Clean Properly
Food and bacteria get trapped under the bridge, creating a breeding ground for implantitis — a serious infection that can cause implant failure.
A Better Way to Restore Your Smile
3-On-6™ was designed to solve every limitation of All-on-4 — without compromise.
Natural Appearance
Your own gums provide the aesthetic — no pink porcelain needed. The result is a smile that's indistinguishable from natural teeth.
Bone Preservation
We preserve your natural bone structure. No unnecessary removal means your jawline and facial structure are protected for decades.
Easy Cleaning
Functions and cleans just like natural teeth. Brush, floss, and maintain your implants with minimal effort and maximum effectiveness.
What Is the 3‑on‑6 Advantage™?
Unlike All-on-4's single one-piece bridge, the 3-on-6 system uses segmented individual bridges supported by more implants — giving you a stronger, smarter, and more maintainable result.
Upper Jaw — 7 Implants, 3 Segments
3 independent segments — back bridges span molar to premolar, front bridge spans canine to canine — with clear gaps between each segment.
Lower Jaw — 6 Implants, 3 Segments
Same segmented approach — back bridges from molar to premolar, front bridge canine to canine — each removable independently for easy maintenance.
Force Distribution Comparison
Back implants bear up to 3× more force than front ones — leading to higher fracture risk, accelerated bone loss, and implant failure at the molars.
Forces distributed evenly across 7 points — each implant bears minimal stress, preserving bone and dramatically reducing long-term complications.
Wondering If 3-On-6™ Is Right for You?
Speak directly with our team — no obligation, no pressure. We'll answer every question.
Call 03 6200 8800Free consultation — normally $150
See How Every Option Compares
| Feature | Full Denture | Implant-Retained | All-on-4 (FB3) | 3-On-6™ (FB1/FB2) |
|---|---|---|---|---|
![]() |
![]() |
![]() |
![]() |
|
| Initial Investment | Lowest | Lower | Higher | Highest |
| Natural Gums & Bone | Full gum coverage, artificial tissue | Some gum retained, slight bone loss | Requires bone removal for pink porcelain | No bone removal, natural gums retained |
| Aesthetic Result | Artificial gum & teeth | Improved with implants | Pink porcelain mimics gums | Completely natural — no pink porcelain |
| Bone Preservation | Bone loss over time | Gradual bone loss | Bone reduction required | Maintains natural bone structure |
| Cleaning & Hygiene | Requires removal | Needs removal | Difficult, implantitis risk | Easy — cleans like natural teeth |
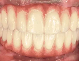
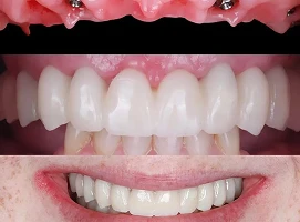
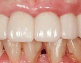
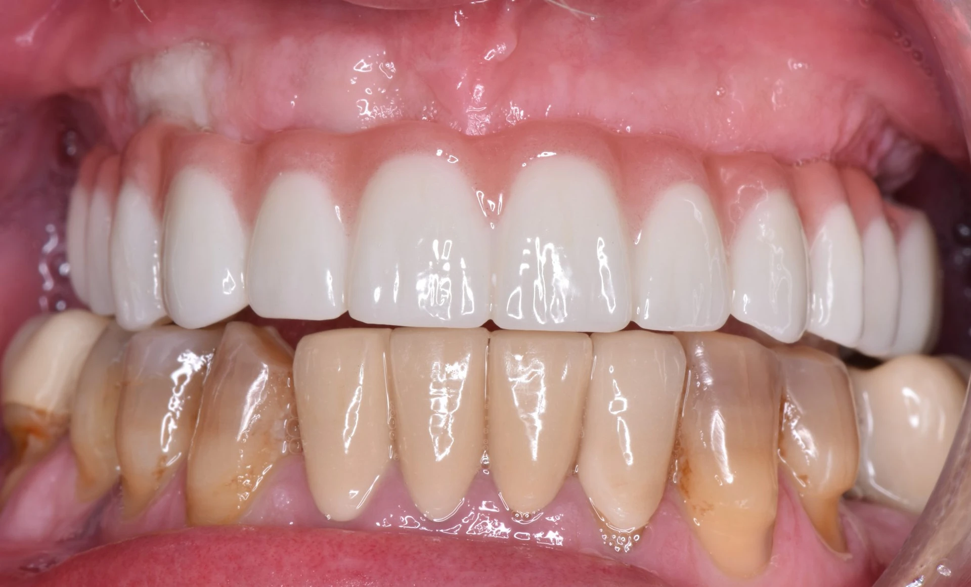
Real 3-On-6™ Outcomes
See the difference in actual patient treatments
Example of FB1
Example of FB1
3-on-6 Full Arch
Built for Decades of Confidence
50% More Stability
Six implants provide significantly more anchoring than four, staying secure during eating and speaking.
Less Stress Per Implant
Load distribution across six points dramatically reduces the risk of individual implant failure.
3D-Guided Precision
Advanced imaging and surgical guides ensure optimal positioning of every implant.
Built-in Redundancy
If one implant ever needs attention, five others maintain full stability — impossible with only four.
Eat Everything You Love
More implants mean better support for natural chewing — enjoy all your favourite foods again.
Long-Term Value
Superior bone preservation and fewer complications mean your investment performs better over decades.
Making Treatment Accessible
We believe finances shouldn't stand between you and the smile you deserve.
Early Super Access
You may be eligible to access your superannuation early for essential dental treatment. We'll guide you through the application process.
Ask us how when you call.
Weekly Payment Plans
Through our partnership with National Dental Plan, you can break costs into manageable, interest-free weekly payments.
Learn more about NDP →Your New Smile Starts With One Call
Book your free consultation with Dr Clark Eom and find out if 3-On-6™ is right for you. No obligation, no pressure — just honest answers.
Call 03 6200 8800Free consultation — normally $150


.webp)
.webp)